令和7年度 学校ブログ

クラシックギターを演奏してみよう!!

2025年10月7日 21時15分

【2校時 音楽】(1・2年生)

「クラシックギターを演奏してみよう!!」

今日の授業では、クラシックギターでの曲の演奏に向けて、指定された弦や弦の位置を押さえる練習を行いました。

繰り返し練習するなかで、どこを押さえるとよい音が出るのかがわかるようになってきました。

難しかったですが、生徒のみなさんは一生懸命練習に取り組んでいました。

IMG_1732IMG_1733

動物の細胞を観察してみよう!!

2025年10月6日 21時10分

【4校時 理科】(2年生)

「動物の細胞を観察してみよう!!」

前時に引き続き、顕微鏡をつかって細胞を観察しました。

今日は綿棒をつかって、ほほの内側の細胞をとり、プレパラートをつくりました。

顕微鏡をのぞき、自分の細胞を見つけると、生徒のみなさんは驚きとともに、とてもうれしそうにしていました。

IMG_1716

  

【3校時 数学】(2年生)

基礎コース、発展コースの2つのコースに分かれて学習しました。

基礎コースでは、一人一人の進度やペースで学習を進めていました。

IMG_1714

発展コースのみなさんは、「文字式の利用」について学習していました。

IMG_1712

心の健康教室(第1回目)

2025年10月3日 21時17分

【1・2校時 心の健康教室】(1・2年生)

今日は、ほりこし心身クリニック(福島市)で心理士をされている渡邉宏周様を講師としてお招きして、「心の健康教室」を開催しました。

IMG_1685

今日は「心を大切にする方法」という演題で、次の3つのポイントについて教えていただきました。

(1)自分の「いいところ」を見つける

(2)大切な気持ちになれる行動を見つける

(3)気分を楽にして、調子をよくする方法

  

最初の「自分の『いいところ』を見つける」では、生徒さん一人一人がワークシートに「自分のいいところ」を記入しました。

その後、4人1組のグループ内でワークシートを回して見ました。

この場面では、級友のよいところを知り、認めるとともに、自分のよさを再発見することにもつながりました。

IMG_1692AIMG_1700

今日の講義で学んだことは、「実践したい!!」と思うものばかりでした。

お忙しい中、わかりやすく講演していただきました渡邉宏周様にあらためて御礼申し上げます。

 

「心の健康教室」は、10月3日(金)、10月10日(金)、10月17日(金)の3週連続での開催を予定しています。

講師として、ほりこし心身クリニックのスタッフの方々にお世話になります。

本講演を通して、生徒のみなさんには心身の健康を大切し、よりよい人生につなげてほしいと願っています。

後期新入生歓迎会を行いました

2025年10月2日 21時12分

【1校時 後期新入生歓迎会】(1・2年生)

昨日は令和7年度後期入学式を行いました。

今日は、後期入学した二人の新入生を歓迎する会を開催しました。

IMG_1643

花束を贈呈したあと、お互いを知り、仲良くなるきっかけとなるように、みんなで「ばば抜き」を行いました。

新入生は、各グループをまわり、みんなと一緒に楽しくゲームをしていました。

早く学校に慣れ、充実した生活を送ってほしいと思います。

 

また、歓迎会を企画・準備・運営した実行委員のみなさん、ありがとうございました!!

みなさんのお陰で、思い出に残る楽しい時間となりました。

  

【連絡事項】

10月1日(水)より、令和8年度前期(4月)入学の願書受付が始まりました。

期間は令和7年10月1日(水)~令和8年3月18日(水)となっております。

入学願書の提出にあたっては、事前に必ず「入学希望者説明会」に参加することとしています。

令和8年度の入学を希望される方は、天神スクールまでお問い合わせください。

令和7年度後期入学式を行いました

2025年10月1日 20時53分

【令和7年度後期入学式】

本日、1学年に2名の方が入学され、一緒に学ぶ仲間が増えました!!

IMG_1638

入学式には来賓として、天神スクールの開校にご尽力を賜りました、「福島に公立夜間中学をつくる会」の代表の大谷一代様にもご参加いただきました。

  

入学式では、はじめに、学級担任が新入生の呼名をし、呼ばれたお二人は大きな声で「はい」と返事をされました。

校長式辞では、次のようなお話がありました。

(池上彰さんの『なんのために学ぶのか』を紹介し、)「池上さんは、学ぶことに、遅いことはありません、と言っています。」

「学ぶことは、とても楽しい時間です。学ぶことで好奇心が刺激され、次から次へと学びが続きます。」

「たくさんのことを知りたい、学びたいという、みなさんの熱意や意欲を、天神スクールでの生活で発揮してください。」

「学習だけでなく、共に学ぶ人生の先輩たちから、たくましく生き抜く知恵も学んでほしいと思います。」

IMG_1603

  

福島市教育員会を代表して教育長の佐藤秀美様より、温かい励ましのメッセージをいただきました。

IMG_1609

  

歓迎の言葉では、在校生を代表して2年生の生徒さんから、次のようなお話がありました。

「夜間中学での3年間は、あっという間に過ぎていきます。だから、何気なく過ごすのではなく、目標をもち、自分から積極的に行動することが、学校生活を豊かにするカギとなります。」

「私たちと共に汗を流し、仲良く楽しく学校生活を送りましょう。」

  

誓いの言葉では、代表の新入生から、次のようなお話がありました。

「体験入学で実際に授業を体験できたことで、夜間中学に通うことに自信がつき、こうしてこの入学式に臨むことができました。」

「それは、夜間中学での学びが、未来の私の大きな成長につながると強く感じたからです。学業と仕事の両立には不安もありますが、今後の人生に必ず生きる経験だと信じています。」

「私たちは、勇気と希望を胸に、少しずつ前進していくことをここに誓います。」

IMG_1615

  

入学式後には、1年生のみなさんは学級活動に参加しました。

生徒のみなさんは、1学年の先生たちの話を通して、これからの学校生活に前向きに取り組もうとする気持ちを高めたようでした。

IMG_1633

  

2名の新入生を迎え、生徒数は合計31名(1年10名、2年21名)となりました。

今後とも、天神スクールの教育活動へご理解いただきますとともに、応援くださいますようお願い申し上げます。

校外学習のメニューを考えよう!!

2025年9月30日 20時32分

【3校時 学級活動】(1・2年生)

「野外炊飯のメニューを考えよう!!」

10月25日(土)に、生徒のみなさんが楽しみにしている「校外学習」を予定しています。

昨年度のアンケートでは、一番の思い出として「校外学習」と答えた方がたくさんいました。

今日は校外学習に向けて、野外炊飯のグループを決めたり、グループで作るメニューを考えたりしました。

IMG_1600

  

【2校時 国語】(2年生)

「扇の的-『平家物語』から」(おうぎのまと-「へいけものがたり」から)

今日の授業は、はじめに、作品に登場する鎧(よろい)や弓矢(ゆみや)などついて、国語担当が写真などを使って丁寧に紹介しました。

後半では、那須与一(なすのよいち)が弓(ゆみ)を射る(いる)状況を、作品から読み取る活動を行いました。

現代とは異なる言葉や表現もたくさんありますが、みなさん関心をもって学習に取り組んでいました。

IMG_1597IMG_1599

今日の天神スクールの様子

2025年9月29日 21時18分

【4校時 英語】(2年生)

「英語でクイズ!!」

2つのコースに分かれずに、みんなで一緒に学習しました。

今日の授業では、英語(英単語)に関する問題について、○か×かで答える活動をしました。

例えば「ジャガイモの『め』は、英語で『eye(アイ)』という。○か×か。」などの問題がありました。

生徒のみなさんは、とても楽しそうに活動されていました。

IMG_1593

 

明後日の10月1日(水)は後期入学式があるので、明日の1校時目は教室などの美化作業を行う予定です。

後期入学式、新入生歓迎会に向けた準備が始まりました

2025年9月26日 21時10分

【4校時 入学式・歓迎会準備】(1・2年生)

天神スクールでは、10月1日(水)に後期入学式、10月2日(木)に新入生歓迎会を開催します。

今日は、新入生歓迎会で行うレクリエーションについて、みんなでアイデアを出し合いました。

みんなが参加できるか、みんなで楽しめるか、などの点から真剣に考えていました。

IMG_1587

来週の29日(月)、30日(火)にも入学式、新入生歓迎会に向けた準備を行います。

  

【1校時 理科】(2年生)

「植物のからだを顕微鏡で観察してみよう②」

今日の授業は、酢酸カーミンで染色した「ツユクサ」「オオカナダモ」の葉の細胞を、顕微鏡で観察しました。

IMG_1583IMG20250926173313

生徒さんの中には、赤く染まっている部分があることに気づいた方もいました。

授業の後半では、タブレット端末を使って、観察した細胞の写真を撮り、レポートにまとめていました。

IMG20250926174658

今日の天神スクールの様子

2025年9月25日 21時11分

【3校時 数学】(2年生)

「1次方程式」

発展コースの皆さんは、1次方程式の問題に挑戦していました。

移項をしたり、式を変形させたりして、正確に方程式を解いていました。

IMG_1575

  

【1校時 英語】(2年生)

「現在進行形」

基礎コースの皆さんは、モニターに写る人物や動物などが何をしているのかを、現在進行形を使って表現する活動をしていました。

IMG_1557

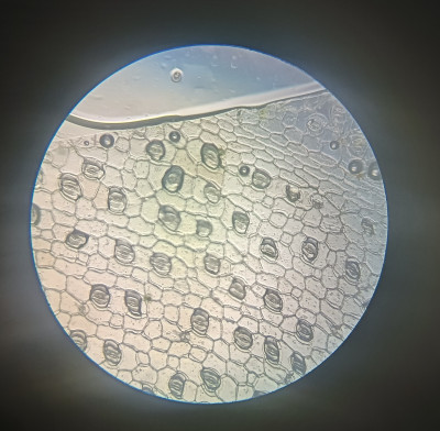
顕微鏡で植物のからだを観察してみよう(理科・2年)

2025年9月24日 21時08分

【2校時 理科】(2年生)

「顕微鏡で植物のからだを観察してみよう」

今日の授業では、顕微鏡を使って「ツユクサ」と「オオカナダモ」の葉を観察しました。

プレパラートをつくり、顕微鏡で観察してみると、植物の細胞をはっきりと見ることができました。

IMG_1538

IMG20250924183802

IMG20250924182527